Stalni zub raste iza mlečnog najčešće kod donjih jedinica. I ako je ovo čest slučaj, moraju se odmah preduzeti određeni koraci da bi stalni zubi i njihovo nicanje proteklo kako treba. U nastavku ćemo Vas upoznati sa uzrocima, daćemo odgovor na pitanje koje su moguće posledice i kako efikasno rešiti ovaj problem.
Stalni zubi kod dece - redosled nicanja
Mlečni zubi počinju nicanje oko šestog meseca života, a završavju sa dve godine. Dete tada u svakoj vilici ima po 10 zuba (ukupno 20) - od jedinice do petice.
Stalni zubi kod dece kreću da niču oko 6. godine. Nicanje stalnih zuba počinje od šestice. Prvi stalni zub koji niče je stalna šestica, za koju ima prostora iza mlečne petice bez vađenja mlečnih zuba. Često roditelji ne prepoznaju ovaj zub već misle da je u pitanju mlečna petica.
Nicanje šestice obično prate stalni zubi jedinice i dvojke. Za njima rastu četvorke i petice, a na kraju i trojke. Za razliku od šestica, nicanje ovih zuba je uslovljeno prethodnim vađenjem (ispadanjem) mlečnih zuba.
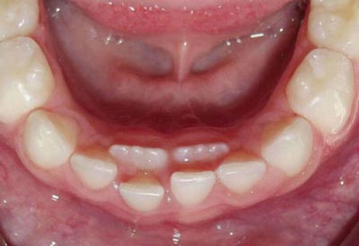
Stalni zub raste iza mlečnog - Zašto?
Da bismo odgovorili na ovo pitanje, reći ćemo najpre šta se dešava kod nicanja stalnih zuba. Pogrešno je ubeđenje nekih ljudi da mlečni zub ne poseduje koren! Na protiv, mlečni zub ima koren.
Zametak za stalni zub se po pravilu nalazi neposredno ispod korena mlečnog zuba. Dok traje nicanje stalni zub resorbuje koren mlečnog zuba. U toku ovog procesa, kako mlečni zub gubi koren, postepeno se rasklačuje i naposletku ispada. Ako je sve kako treba, koren zuba se toliko resorbuje da praktično ne više ne postoji. Zub ispada najčešće u toku uzimanja hrane, na najmanji pokret.
Stalni zub raste iza mlečnog najčešće u slučaju donjih jedinica. To se javlja najčešće zato što je zametak stalnog zuba blago pomeren ka usnoj duplji u odnosu na mlečni zub. U toj situaciji stalni zub prilikom rasta ne apsorbuje pravilno koren, već apsorbuje samo njegovu unutrašnju polovinu, pa se mlečni zub ne rasklati kako treba.
Ovo se može desiti i kod četvorki i petica. Mlečni zubi četvorke i petice su molari (kutnjaci), a stalni zubi četvorke i petice su premolari (kutnjaci su kod stalnih od šestice). Stalna četvorka premolar može biti ista ili manja od mlečnog molara četvorke. Ukoliko je manja, ona često ne može da u potpunosti apsorbuje koren, pa zub kreće da raste pored mlečnog zuba.
Posledice preklopljenog rasta stalnog i mlečnog zuba
Sve ovo su relativno česte i normalne pojave. Međutim, ukoliko se ne reaguje na vreme, nakon smene zuba zubi neće biti poravnati u savršen ziz, već će biti krivi.
Zub raste pored mlečnog - Šta sada?
Trebalo bi uraditi sledeće:
- Najpre, poseta zubaru - zubar će proceniti da li treba da se čeka (da li je apsorpciaj moguća) ili se zub treba vaditi
- Snimanje zuba - zubar će, ukoliko već nije poodmakla faza kod koje je sve vidljivo golim okom, najverovatnije zahtevati snimak zuba da bi odredio gde je zametak u odnosu na koren
- Vađenje mlečnog zuba - najverovatniji scenario je da će zubar izvaditi mlečni zub da bi stalni mogao da zauzme njegovo mesto i nastavi na niče pravilno i formira pravilan zubni niz. Ovo vađenje može biti malo bolno jer koren nije apsorboran! Zato vodite računa da se dete ne bi istraumiralo. Iskusni stomatolozi ili imaju tehniku i znaju kako da detetetu daju anesteziju, ili koriste anestetik u spreju i naprskaju dete kako ne bi osetilo (mi najčešće koristimo anestetik u spreju, jer se deca njega ne plaše - "namirišemo zubić" :) ).
- Ortodontska terapija - sva je prilika da će dete, ukoliko ste čekali, morati da nosi protezu (ortodontski aparatić) za ispravljanje zuba kod dece (pogledajte prethodni link) i da napredak terapije prati ortodont specijalista (ortodont u Dental SPA Niš).
Na kraju (prevencija)...
Ako stalni zub raste iza mlecnog, ma koliko se trudili ovo ne možete prevenirati jer nije do vas. Ono što možete uraditi je da čim primetite problem, odmah odete kod zubara. Takođe treba reći na kraju da treba obratiti pažnju i na mlečne zube kako bi i te, ali i stalne zube koji će za njima doći sačuvali od kvara.
Pozovite nas!







